粘液腺
词源与定义编辑本段
粘液腺(mucous gland)一词源自拉丁语 mucus(粘液)和 glandula(小腺体),指动物体内专门合成并分泌粘液的上皮细胞簇或多细胞腺体结构。粘液主要成分为粘蛋白(mucin)、水(约占95%)、电解质(Na+、K+、Cl−等)及抗菌物质(如溶菌酶、分泌型免疫球蛋白A)。粘液腺广泛存在于从腔肠动物到哺乳动物的各类群中,是适应性进化的理想模型。 ADSFAEQWER353423413434
分类与分布编辑本段
按组织结构分类
| 类型 | 结构特征 | 分布代表 |
|---|---|---|
| 单细胞腺体 | 杯状细胞(goblet cell) | 脊椎动物肠上皮、呼吸道 |
| 多细胞腺体 | 管状/泡状腺体 | 哺乳动物唾液腺(如颌下腺) |
| 复合腺体 | 多级分支导管系统 | 人类支气管腺体、哺乳动物胃腺 |
按动物类群分类
结构与细胞学特征编辑本段
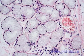
粘液腺细胞通常呈柱状或杯状,核位于基底部,胞质富含粗面内质网和高尔基体。分泌颗粒(直径0.5-2 μm)在顶端聚集,主要含粘蛋白原(mucinogen)。根据分泌方式:杯状细胞常以组成型分泌维持基础粘液层;而多细胞腺体则通过调节型分泌响应刺激,如神经冲动或激素信号。腺泡外常包绕肌上皮细胞,辅助排出分泌物。
ADFASDFAF23RQ23R
分泌机制与调控编辑本段
粘液合成与分泌
粘蛋白合成始于粗面内质网翻译MUC基因产物(如MUC2、MUC5AC、MUC5B),随后在高尔基体发生O-连接糖基化(占分子量50-80%),形成巨大糖蛋白。成熟粘蛋白储存于分泌颗粒中,在胞吐作用时释放至管腔或表面。水与电解质主要通过水通道蛋白和离子通道(如CFTR)协同转运,决定粘液的离子组成与粘弹性。 ADSFAEQWER353423413434
调控通路
| 刺激类型 | 受体 | 效应途径 |
|---|---|---|
| 乙酰胆碱 | M3毒蕈碱受体 | PLC-IP3-Ca2+ |
| 组胺 | H2受体 | cAMP-PKA |
| 机械刺激 | 压电通道(Piezo1/2) | 膜电位变化 |
生物学意义编辑本段
临床相关性编辑本段
研究热点编辑本段
未来方向编辑本段
参考资料编辑本段
- Bansil, R., & Turner, B. S. (2006). Mucin structure, aggregation, physiological functions and biomedical applications. Current Opinion in Colloid & Interface Science, 11(2-3), 164-170.
- Rose, M. C., & Voynow, J. A. (2006). Respiratory tract mucin genes and mucin glycoproteins in health and disease. Physiological Reviews, 86(1), 245-278.
- Johansson, M. E. V., & Hansson, G. C. (2016). Immunological aspects of intestinal mucus and mucins. Nature Reviews Immunology, 16(10), 639-649.
- Bose, S. K., & Chakraborty, S. (2020). Mucous gland: Structure, function, and its role in health and disease. Journal of Advanced Research, 24, 295-306.
- 李刚, 王勇. (2018). 粘液腺结构与功能研究进展. 解剖科学进展, 24(3), 289-293.
- 张晓峰, 刘强. (2020). 粘蛋白与消化道疾病关系的研究进展. 中国病理生理杂志, 36(5), 945-950.
- 赵敏, 孙伟. (2022). 仿生粘液材料的设计与应用. 材料导报, 36(1), 1-7.
- 陈磊, 李华. (2019). 囊性纤维化发病机制及治疗进展. 国际儿科学杂志, 46(4), 271-275.
附件列表
词条内容仅供参考,如果您需要解决具体问题
(尤其在法律、医学等领域),建议您咨询相关领域专业人士。
