嗜酸性粒细胞
定义与概述编辑本段
嗜酸性粒细胞(Eosinophil)是白细胞中的一种粒细胞,因其胞质内含有嗜酸性颗粒而得名。在血液中,嗜酸性粒细胞占白细胞总数的2%-4%,绝对计数为100-350个细胞/μL。其数量呈现明显的昼夜节律:清晨减少,午夜增加,这与肾上腺皮质释放糖皮质激素的昼夜波动相关。当皮质激素浓度增高时,嗜酸性粒细胞数减少;反之则增加。嗜酸性粒细胞主要在组织中发挥作用,尤其在速发性过敏反应和抗寄生虫免疫中扮演关键角色。
形态与结构编辑本段
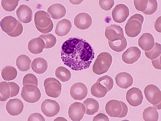
嗜酸性粒细胞直径约10-15μm,胞核通常分为两叶,胞质内充满粗大、均匀、橘红色的嗜酸性颗粒。这些颗粒含有多种酶类,如组胺酶、过氧化物酶、酸性磷酸酶等,参与免疫调节和杀伤病原体。细胞膜表面分布有免疫球蛋白Fc受体(如FcεRII)和补体C3受体,使其能够识别并黏附于靶细胞。
颗粒成分
功能与机制编辑本段
调节过敏反应
嗜酸性粒细胞通过以下三种途径限制嗜碱性粒细胞在速发性过敏反应中的作用:
抗寄生虫免疫
嗜酸性粒细胞在抗蠕虫免疫中起核心作用。当机体感染蠕虫后,特异性IgE抗体产生,与蠕虫表面抗原结合,同时激活补体C3。嗜酸性粒细胞通过其细胞膜上的Fc受体和C3受体识别并黏附于蠕虫,释放颗粒内容物如过氧化物酶,损伤虫体。此外,嗜酸性粒细胞还可通过抗体依赖性细胞介导的细胞毒作用(ADCC)杀伤寄生虫。
分布与生理变化编辑本段
嗜酸性粒细胞主要在骨髓中生成,成熟后释放入血,半衰期约8-12小时,之后进入组织(尤其呼吸道、消化道和皮肤)存活数天。其数量受肾上腺皮质激素调节,昼夜波动明显。嗜酸性粒细胞增多常见于:
- 寄生虫感染(如血吸虫、丝虫)。
- 过敏性疾病(如哮喘、过敏性鼻炎)。
- 某些皮肤病(如湿疹)。
- 药物过敏反应。
| 状态 | 嗜酸性粒细胞计数(细胞/μL) | 常见原因 |
|---|---|---|
| 正常 | 100-350 | 健康成人 |
| 轻度增多 | 350-1500 | 过敏、药物反应 |
| 中度增多 | 1500-5000 | 寄生虫感染、哮喘 |
| 重度增多 | >5000 | 嗜酸性粒细胞白血病、高嗜酸性粒细胞综合征 |
临床意义编辑本段
嗜酸性粒细胞计数异常可用于辅助诊断多种疾病。例如,嗜酸性粒细胞增多提示寄生虫感染或过敏性疾病;而减少则可能见于应激状态、库欣综合征或使用糖皮质激素后。嗜酸性粒细胞相关疾病包括:
研究历史与展望编辑本段
嗜酸性粒细胞自19世纪被发现以来,其功能从最初被认为参与过敏反应,逐步扩展到免疫调节、组织修复和抗肿瘤免疫。近年来,针对嗜酸性粒细胞的单克隆抗体(如美泊利单抗)已用于治疗嗜酸性粒细胞性哮喘,进一步突显其临床重要性。
参考资料编辑本段
附件列表
词条内容仅供参考,如果您需要解决具体问题
(尤其在法律、医学等领域),建议您咨询相关领域专业人士。

